×

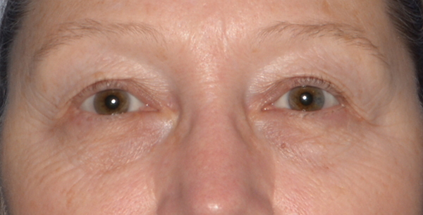
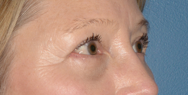
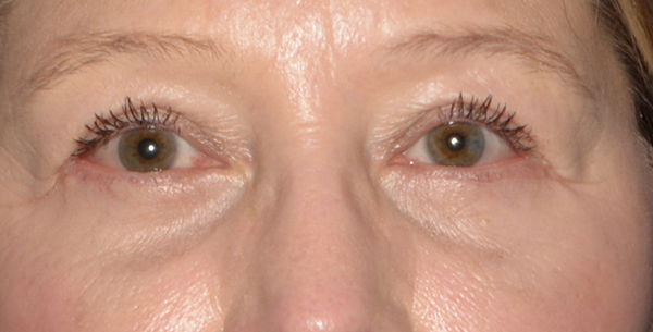
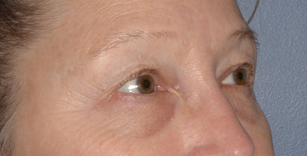
Eyelid Lift Photos - Case #23167

Before
Eyelid Lift
After
Eyelid Lift
Before
Eyelid Lift
After
Eyelid Lift
Before
Eyelid Lift
After
Eyelid Lift
Schedule Your Consultation
Check Out Our Instagram