×

Eyelid Lift Photos - Case #7456

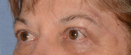
Before
Eyelid Lift
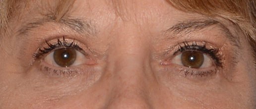
After
Eyelid Lift
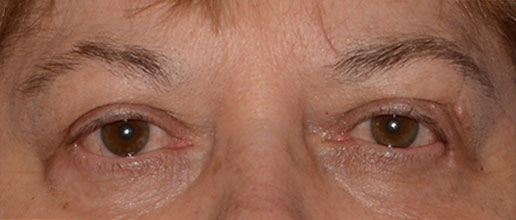
Before
Eyelid Lift
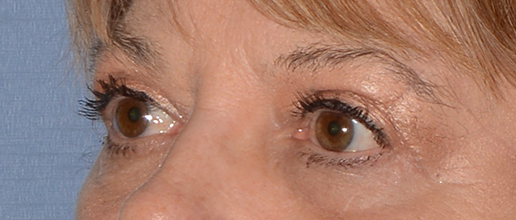
After
Eyelid Lift
Before
Eyelid Lift
After
Eyelid Lift
Schedule Your Consultation
Check Out Our Instagram